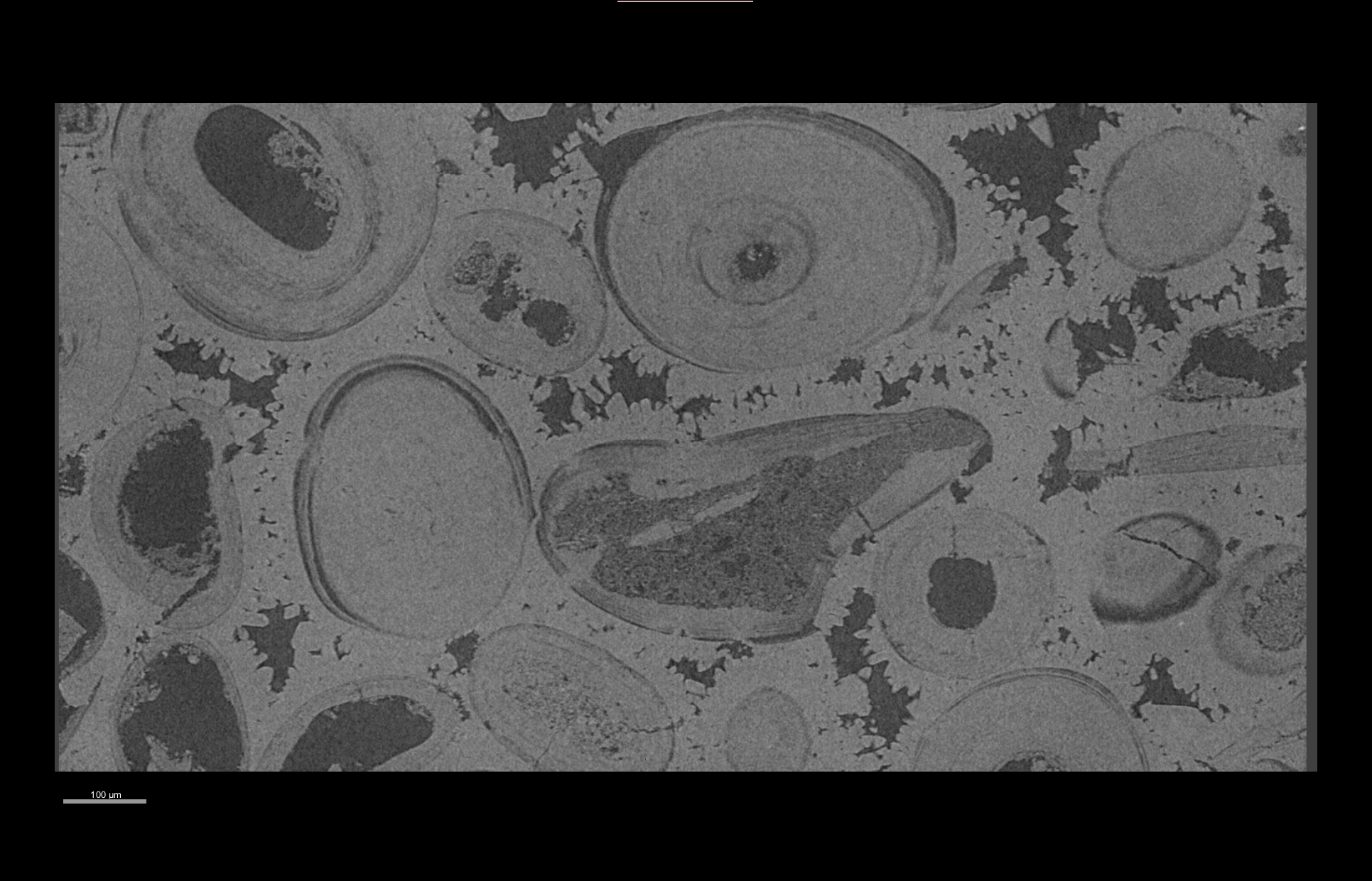
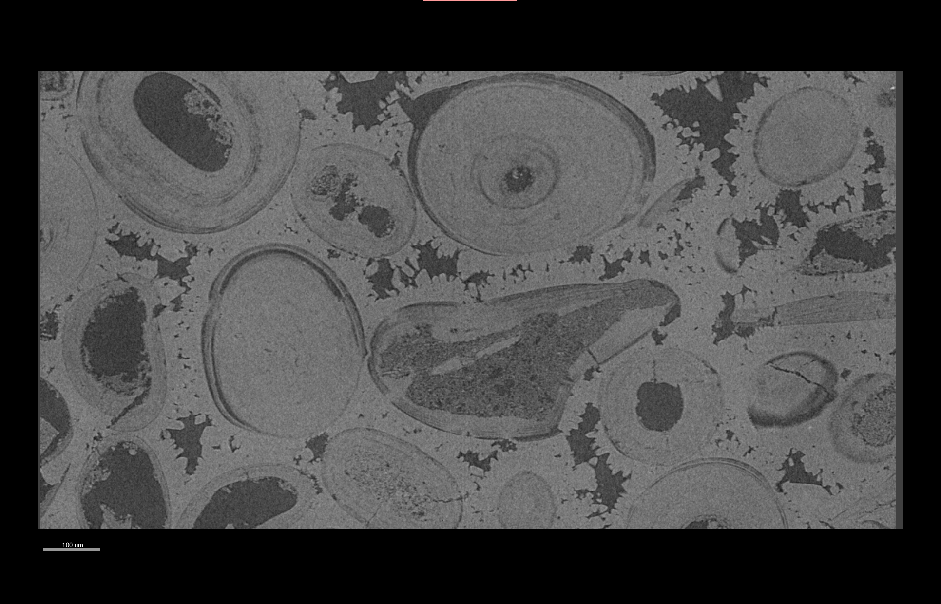
TESCAN UniTOM XL
Large-volume dynamic imaging for reservoir core samples
TESCAN UniTOM XL provides high-throughput, non-destructive imaging of full core plugs and large fragments.
-
High-speed scanning with customizable field of view
-
Ideal for visualizing pores and fractures across entire samples
-
Supports integrated multiscale workflows






